Определение
Некалькулезный холецистит – острое или хроническое воспаление стенки желчного пузыря, не сопровождающееся камнеобразованием.
Синонимы: бескаменный холецистит.
Бескаменный холецистит является довольно часто встречающимся заболеванием. По данным официальной статистики каждые 6-7 человек из тысячи болеют острым или хроническим некалькулезным холециститом, на практике цифры оказываются в полтора-два раза выше. Женщины болеют в 3-4 раза чаще мужчин. В отличие от калькулезной формы, бескаменный холецистит одинаково поражает, как взрослых, так и детей и подростков. И еще немного цифр: среди острых форм бескаменный холецистит составляет всего 5-10% от всех острых форм холецистита, но смертность от него выше, ввиду некоторой сложности его диагностики.
Причины
Основными причинами развития воспаления стенок желчного пузыря являются различные инфекционные процессы, происходящие в организме. В основном это: стафилококки, стрептококки, кишечные палочки, протеи. Пути проникновения этих микроорганизмов самые различные:
- Попадание из соседних органов нисходящим (из печени) или восходящим (кишечник и поджелудочная железа) путем; занос бактерий, вирусов, грибов и червей (реже) из кишечника является наиболее частой причиной развития бескаменного холецистита;
- Занос с кровью: этим путем проникает инфекция из отдаленных от желчного пузыря органов, к примеру, воспаление миндалин (обострение хронического тонзиллита, ангины), так часто встречающееся в детском и подростковом возрасте, при несвоевременном лечении, потенциально может стать причиной острого холецистита.
- Перенос по лимфатической системе, механизм похож на предыдущий, обычно так заносятся инфекции из органов анатомически приближенных к желчному пузырю: поджелудочная железа, кишечник, печень.
Но, инфекция не попадет в пузырь или не успеет вызвать воспаление его стенок, если не будет сочетания определенных предрасполагающих факторов строения и функционирования желчевыводящих путей, приводящих к застою желчи в них. К таким факторам относят:
- Различные аномалии строения желчного пузыря или желчевыводящих протоков: перетяжки, перегибы, мешающие нормальному оттоку желчи;
- Дискинезии желчевыводящей системы – функциональное расстройство, характеризующееся неадекватным, замедленным «поведением» системы при прохождении пищи по желудочно-кишечному тракту. До сих пор не выяснена однозначная причина данного заболевания, но большинство ученых связывают его с психо-эмоциональными факторами жизни человека. К функциональным расстройствам также относят и дисфункции сфинктерного аппарата желчевыводящих путей;
- Некоторые паразитарные заболевания (лямблиоз, описторхоз, амебиаз, аскаридоз);
- Неправильное питание: редкое, но очень обильное; употребление алкоголя;
- Малоподвижный образ жизни;
- Гормональные заболевания;
- Ожирение;
- Эмоциональные стрессы, нервозность;
- Беременность: матка, при увеличении, сдавливает практически все органы женского организма;
- И, как ни странно, особенности половой жизни человека, в особенности женщин. Доказано, что нерегулярная половая жизнь, и, как следствие, нарушение менструальной функции, могут также приводить к хроническим воспалительным процессам в различных органах и тканях, в частности и в желчном пузыре.
Воспаление в стенках органа ведут к определенным изменениям его структуры: стенки утолщаются и деформируются, слизистая утончается и принимает форму сетки, мышечная оболочка увеличивается, появляются рубцы. При переходе воспаления в более глубокие слои могут образовываться спайки с соседними органами.
Классификация
По наличию или отсутствию ранее острых приступов холецистит можно разделить на:
- острый, когда проявления холецистита появились впервые, в острой форме;
- хронический, который в свою очередь подразделяется на фазы:
- обострения (проявлениями ничем не отличается от острого);
- ремиссии (проявления минимальны и чаще всего связаны с погрешностями в диете, это вялотекущее воспаление в стенке пузыря, может протекать годами).
В зависимости от количества обострений заболевания по течению выделяют хронический некалькулезный холецистит:
- легкую форму, обострения не чаще 2 раз в год;
- среднетяжелую форму, 2-5 обострений в год;
- тяжелую форму, более 5 обострений в году.
Симптомы
Для фазы ремиссии хронического холецистита характерны следующие симптомы:
- боли в правом подреберье, иногда под «ложечкой», которые могут отдавать в правое плечо и под правую лопатку, редко в левую половину тела. Боли обычно тупые или тянущие и проходят самостоятельно или при приеме спазмолитиков через несколько часов, реже дней. Обычно они появляются при погрешности в диете: жареное, острое, соленое, копченое, употребление спиртных или газированных напитков; сильных стрессах или после чрезмерной физической нагрузки;
- боли также могут сопровождаться тошнотой и рвотой, хотя некоторые ученые склонны считать, что рвота не является проявлением конкретно холецистита, а скорее сопутствующей патологии ЖКТ: гастрита, панкреатита и т.д.;
- довольно часто пациенты с данной патологией рассказывают о появлении чувства горечи во рту после еды или при наклонах туловища вперед;
- запоры и/или поносы.
Типичная форма острого или обострения хронического бескаменного холецистита проявляется следующим:
- острая боль в правом подреберье;
- тошнота и частая, не приносящая облегчения, рвота, чаще с примесью желчи;
- отрыжка «с горечью»;
- повышение температуры от небольших цифр (37,2 – 37,5°С, так называемая субфебрильная температура) до фебрильных (выше 38,5° С);
- поносы, реже запор;
- вздутие живота.
Редко острый некалькулезный холецистит может протекать в виде атипичных форм:
- кардиалгической: характерны боли за грудиной, больше похожие на сердечные, могут появиться различные виды аритмий;
- кишечной: для этой формы характерны только поносы, чередующиеся с запорами, вздутие живота, без типичной болевой симптоматики.
Диагностика
При наличии типичных жалоб диагностика холецистита не вызывает особых проблем. Для врача правильный сбор жалоб, анамнеза, данных объективного исследования (осмотра, пальпации, перкуссии) составляет 90% постановки основного диагноза заболевания. Дополнительно используются такие методы, как:
- общий анализ крови, в котором будут присутствовать воспалительные изменения: увеличение лейкоцитов, СОЭ…
- биохимический анализ крови, который сможет более детально рассказать о причинах холецистита, например: воспаление печени или поджелудочной железы;
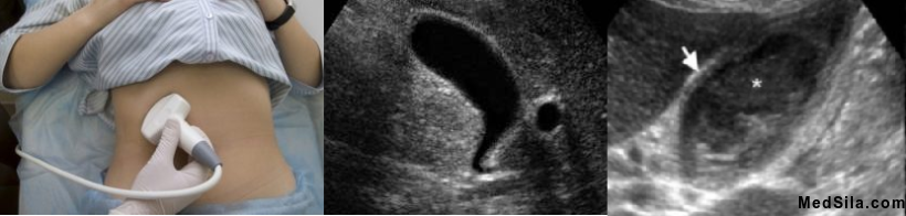
- УЗИ органов брюшной полости, которое является золотым стандартом диагностики холециститов. При данном исследовании можно обнаружить особенности строения пузыря и протоков, увеличение толщины стенок пузыря, их расслоение, наличие или отсутствие камней в пузыре и протоках, распространенность процесса, а именно не вовлечена ли в воспаление околопузырная клетчатка, состояние соседних органов и многое другое, важное для постановки диагноза и определения тактики дальнейшего лечения.
Остальные методы являются вспомогательными и помогают в выяснении причин заболевания и дифференциальной диагностики при нетипичных проявлениях болезни: ЭГДС, РХПГ, КТ ОБП, МРТ ОБП, ЭКГ.
Лечение
Лечение данного заболевания, как и большинства заболеваний в гастроэнтерологии, в первую очередь начинается с формирования образа жизни:
- Пациентам показана диета с ограничением жирного, жареного, острого, копченого, алкоголя, продуктов, вызывающих вздутие живота, особенно в периоды обострения; питание должно быть частым и дробным; адекватный питьевой режим (по данным международных исследований от 2 литров чистой воды в сутки);
- Адекватная двигательная активность;
- Своевременное лечение воспалительных заболеваний;
- Ограничение психоэмоционального напряжения: формирование режима труда и отдыха;
- Ферментные препараты курсами (Фестал, Креон, Панкреатин, Мезим) по месяцу 2 раза в год или во время и после обострения заболевания;
- Желчегонные препараты на основе урсодезоксихолевой кислоты курсами (препараты артишока).
Лечение острых форм холецистита, зависимости от его тяжести, проводится на дому или, чаще, в стационарных условиях. Оно включает в себя:
- антибиотикотерапию, согласно чувствительности возбудителя;
- дезинтоксикационную терапию (выведение токсинов – продуктов жизнедеятельности микроорганизмов, из крови);
- уменьшение болевого синдрома, чаще с этой целью используются спазмолитики: Дротаверин, Папаверин, Спазматон.
При тяжелых формах холецистита, частых его обострениях рекомендована операция: холецистэктомия (удаление желчного пузыря). Чаще операции назначаются в плановом порядке в межприступный, так называемый «холодный» период, иногда операции проводятся в остром периоде по жизненным показаниям: при расслоении или разрывах стенки пузыря.
Осложнения
Самым страшным осложнением, и, к счастью, самым редким, является разрыв желчного пузыря с развитием желчного перитонита, чаще встречается развитие воспаления в околопузырной клетчатке и рядом расположенных органах. Хронический бескаменный холецистит является частой причиной формирования камней в желчном пузыре и развития калькулезной формы холецистита.